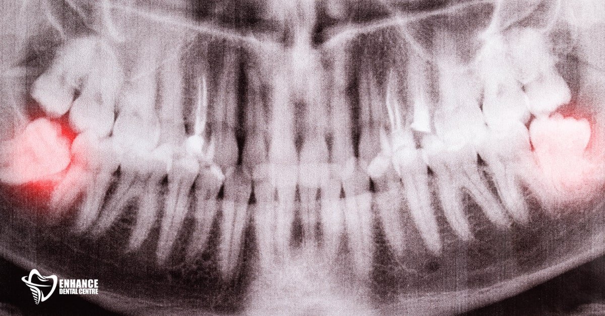
Wisdom teeth—your third molars—typically emerge between the late teens and early twenties, settling in the back corners of your upper and lower jaws. For many, these final teeth appear without issues. But for others, lack of space or poor alignment causes them to grow at awkward angles or become impacted.
When wisdom teeth can’t erupt properly, they may push against neighbouring teeth, trap food and bacteria, or lead to tooth decay and gum infections due to their hard-to-reach location.
Extraction is a common preventive step to avoid these complications. And while surgery may sound intimidating, healing is usually smooth—especially if you follow your dentist’s post-op instructions carefully. How well you care for your mouth after the procedure plays a major role in how quickly you recover.

What to Expect from Wisdom Tooth Extraction Surgery
Wisdom teeth sit at the back of your mouth, often making them harder to clean and more prone to complications. If your wisdom teeth are fully erupted and positioned normally, removal is typically simple. With local anesthesia, your dentist can loosen and extract the tooth using forceps—usually in just a few minutes.
However, impacted or misaligned teeth often require a more involved procedure. While sedation is commonly offered to help patients stay relaxed during surgery, it’s not always necessary and some patients may opt to proceed with local anesthesia alone.
The surgical process typically involves making a small incision in the gums, possibly removing surrounding bone, and sectioning the tooth to allow for easier extraction.
Depending on the number of teeth being removed and the complexity of their position and roots, the procedure can take anywhere from 1 to 2 hours.
After surgery, some patients may need someone to drive them home—particularly if sedation was used during the procedure. Others may be able to leave on their own, depending on how they’re feeling.
In any case, it’s normal to experience mild pain, swelling, and light bleeding on the first day. Closely following your aftercare instructions plays a key role in minimizing discomfort and ensuring a smooth recovery.

What is the typical recovery time after wisdom teeth removal?
For most patients, initial recovery from wisdom tooth surgery takes about three to four days, especially if the teeth were fully erupted. If the teeth were impacted or required more complex surgery, healing may take up to a week or longer.
Keep in mind, full healing of the surgical site can take several weeks to months. During that time, proper oral care remains essential to prevent late-onset infections or other complications.
While you can often resume light activities the day after surgery, it’s important to avoid anything that could dislodge the blood clot—such as smoking, spitting, using straws, or strenuous exercise—for at least 3–5 days.
By the third day, most people notice a significant reduction in pain and swelling. Bleeding typically stops within the first 24 hours. However, if symptoms worsen—like increasing pain, persistent bleeding, swelling, fever, or difficulty breathing or swallowing—contact your dental provider immediately.
At Enhance Dental Centre, we perform numerous wisdom tooth extractions and offer personalized post-operative care to help you recover safely and comfortably. If you’re preparing for surgery or dealing with post-extraction concerns, we’re here to support your healing process.
Factors That Affect Recovery
Healing times vary between individuals, and several key factors can influence how quickly you recover after wisdom tooth removal. Understanding these can help set realistic expectations and support a smoother recovery.

Age and Overall Health
Younger patients—typically in their late teens to mid-twenties—tend to recover faster. Their bone structure is less dense, and their immune systems are generally stronger.
Conversely, those with underlying conditions like diabetes or immune disorders may experience slower healing and a greater risk of complications.

Impacted vs. Erupted Teeth
When wisdom teeth have fully erupted and are easy to access, the extraction is usually straightforward, resulting in a quicker recovery.
However, impacted teeth—those trapped beneath the gums or growing at odd angles—require more invasive surgery, often involving gum incisions or bone removal. This typically leads to increased swelling and a longer healing period.
Post-Operative Care Compliance
Following your dentist or oral surgeon’s aftercare instructions is essential. Avoiding hard or crunchy foods, not smoking, keeping the area clean, and taking any prescribed medication as directed helps prevent complications like infection or dry socket. Skipping these steps can slow down healing significantly.
Pre-Existing Dental Conditions
Issues like gum disease, infection, or poor oral hygiene can complicate extractions and extend recovery. These conditions may require additional care during the healing period.
Taking these factors into account—and adhering to your aftercare plan—can help minimize discomfort and support a faster, complication-free recovery.
15 Post-Operative Care Tips
A smooth recovery after wisdom tooth extraction starts with following the right aftercare. Here are 15 essential tips for proper post-operative care for wisdom teeth removal:
- Stick to soft foods such as mashed vegetables, yogurt, applesauce, smoothies, and soup.
- Steer clear of crunchy, spicy, hot, or acidic foods that can irritate the surgical site.
- Refer to our complete guide on foods to eat after wisdom teeth removal to make the right meal choices.
- Avoid brushing directly over the extraction site for the first 24 hours.
- Begin rinsing gently with warm salt water after meals starting on day two.
- Do not rinse forcefully, spit aggressively, or swish mouthwash—this can dislodge the blood clot.
- Keep physical activity to a minimum for the first 3–5 days to avoid pressure or bleeding.
- Rest with your head elevated to help reduce swelling and improve circulation.
- Do not smoke, as it delays healing and raises your infection risk.
- Skip alcohol completely for at least one week following surgery.
- Avoid drinking through straws; the suction can lead to dry socket.
- Use a cold compress or ice pack on the cheek near the extraction area in 15-minute intervals during the first 48 hours.
- Take any prescribed or over-the-counter medications as directed—don’t wait for the pain to spike.
- Be proactive with your comfort—early pain control makes a major difference.
- Use trusted pain management solutions after dental surgery recommended by your dental provider.
Following these tips can help you avoid unnecessary complications and keep your recovery on track.
Potential Complications to Watch For
While most wisdom tooth extractions heal without issues, staying alert to complications can help you respond quickly and prevent setbacks.

Dry Socket
This painful condition occurs when the blood clot protecting the surgical site becomes dislodged or dissolves too soon. Without it, the underlying bone and nerves are exposed, causing sharp pain that may radiate to your ear or jaw a few days after surgery.
If you’re concerned about signs of dry socket after extraction, don’t wait—seek professional care immediately.

Infections
Infections can set in when bacteria enter the healing site. Watch for signs like fever, increasing swelling, pus, chills, or a persistent foul taste in your mouth. These symptoms often show up a few days post-op and should be treated quickly to avoid worsening health issues.
Nerve Irritation
Lower wisdom teeth, especially those near major nerves, may cause temporary numbness or tingling in the lips, tongue, or chin. This is typically a short-term issue caused by nerve inflammation and often resolves on its own within days or weeks.
Prolonged Bleeding
Some bleeding is expected for the first 24 hours. If it continues beyond that or seems heavy, apply firm pressure with gauze. If bleeding doesn’t stop or resumes after stopping, contact your dentist promptly.
If you experience any of these symptoms, our emergency dental services for post-surgery complications are available to help you get the care you need—fast and effectively.
Conclusion
Healing from a wisdom tooth extraction varies by person. While many recover in just a few days, others may need more time depending on the tooth’s position, age, and how closely they follow aftercare instructions. The encouraging news? With proper guidance and care, most patients heal smoothly without complications.
If you’re preparing for wisdom tooth removal or navigating recovery, the team at Enhance Dental Centre is here to support you. We provide personalized consultations, expert extractions, and step-by-step aftercare to make your experience as safe and comfortable as possible.
Book your consultation today and take the next step toward a healthier, pain-free smile.